Ученые математически доказали недостижимость абсолютного нуля температуры
Законы термодинамики, являющиеся краеугольными камнями современной физики, помогают нам объяснить поведение и изменение физических свойств объектов и сред при определенных условиях и обстоятельствах. Первые два закона в фундаментальном плане никогда особо не подвергались критике и пересмотру, чего н...
Нужно ли людям обновлять свои тела, чтобы выжить на Марсе?
Жить и копаться в космосе — особенно на Марсе — вот что много лет привлекает наш вид. Недавно основатель SpaceX Илон Маск решил положить очень большую сумму денег на то, чтобы колонизировать Красную планету. NASA тоже любит бахвалиться своим грядущим путешествием на Марс, намеченным на 2...
Диабет II типа можно вылечить за четыре месяца: если поголодать и позаниматься
Диабет II типа можно обратить всего за четыре месяца за счет урезания калорий, упражнений и поддержания уровня глюкозы под контролем, показало исследование. Исследование включало создание персонализированного режима упражнений для каждого участника тестирования и снижение их калорий на 500-750 в ден...
Возможно, SpaceX больше не будет разбрасываться ракетами
SpaceX должна была запустить Falcon 9 в начале прошлой неделе, но из-за ветра запуск был перенесен. Вторая попытка увенчалась успехом. Вскоре после запуска в четверг SpaceX сообщила, что EchoStar XXIII уверенно вышел на геосинхронную орбиту. Из-за сложности запуска этого спутника SpaceX не попыталас...
Чем теплее на планете, тем меньше становятся некоторые млекопитающие
Пятьдесят шесть миллионов лет назад, примерно через десять миллионов лет после того, как вымерли динозавры, с нашей планетой произошло что-то странное. На ней стало жарко. Очень жарко. Так жарко, как бывало только давным-давно, за несколько миллиардов лет до этого. Углеродные сигнатуры в геологическ...
Разработан экспресс-тест, способный определить группу крови за 30 секунд
Знаете ли вы свою группу крови? Если по какой-либо причине не знаете, мы советуем вам обязательно узнать это. Ведь знание это в непредвиденном случае способно спасти вам жизнь. Существующие на сегодняшний день способы установления группы крови далеки от совершенства. Все они подразумевают доста...
Сложная жизнь могла появиться намного раньше, чем полагали
Около 1,6 миллиарда лет назад сообщество маленьких ярко-красных растительных форм жизни, плескавшихся в мелком бассейне допотопной воды, было выгравировано в камне до конца времен. Или, по крайней мере, до тех пор, пока команда шведских исследователей не раскопала их окаменевшие останки в осадочных...
Космический корабль «Федерация» построят к 2021 году
Глава РКК «Энергия» Владимир Солнцев рассказал в беседе с журналистами РИА «Новости», что уже через четыре года первый космический корабль «Федерация» будет полностью готов к полётам.Солнцев сообщил, что на восемьдесят процентов корабль будет состоять из компо...
Американские госпитали начнут печатать протезы на 3D-принтерах
Производитель 3D-принтеров Stratasys сообщает, что представители компании подписали договор о сотрудничестве с американским Министерством по делам ветеранов. Результатом совместной деятельности станет новая партнёрская программа, в рамках которой Stratasys установит аппараты 3D-печати в госпиталях,...
В безлунную ночь уровень освещенности может быть в 100 миллионов раз ниже, чем при ярком дневном свете. И если мы практически слепы и совершенно беспомощны в темноте, кошки вполне успешно выслеживают добычу, а бабочки проворно порхают между цветами на наших балконах. Пока мы спим, миллионы других жи...
У тихоходок обнаружилась еще одна суперспособность
Крошечные живые существа, тихоходки, обладают набором удивительных свойств. Они с легкостью переносят радиацию, температуру, варьирующуюся от +150 градусов Цельсия до почти абсолютного нуля, а также давление, в шесть раз превосходящее давление у самых глубоких океанских впадин. И к этому набору доба...
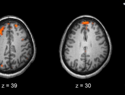
Мозг: переосмыслить, чтобы понять
Понять человеческий мозг — бесспорно, это одна из сложнейших задач современной науки. Ведущий подход на протяжении большей части последних 200 лет заключался в том, чтобы связать функции мозга с различными его областями или даже отдельными нейронами (клетками головного мозга). Но последние исс...



