7 важных навыков для работы будущего
Мы живем в мире стремительных изменений. Новые отрасли постоянно появляются, старые становятся устаревшими. Отчет World Economic Forum показал, что почти 65% рабочих мест, к которым готовят выпускников старших классов, в будущем перестанут существовать. Рабочая сила и наши знания стремительно меняют...
Никакой картошки на Марсе. В этом кислотном супе ничего не вырастет
Ученые выяснили, что некоторые компоненты, имеющиеся в марсианском грунте, способны уничтожить целые бактериальные культуры в течение всего нескольких минут. Исследователи долго гадали над тем, будут ли способны микроорганизмы выжить на поверхности Красной планеты. И результаты последних лабораторны...
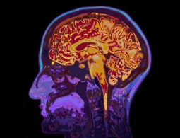
Возможность изменения воспоминаний стала еще ближе
Нейробиологи недавно обнаружили, что при формировании разных типов памяти хоть используются одни и те же нейроны, но при этом в них происходят совершенно разные процессы. Данное открытие может привести к разработке новых и более эффективных методов лечения негативных психологических состояний вроде...
Успешно испытана вакцина против рака
Далеко не первый день специалисты со всего мира ищут лекарство от рака. И совсем недавно, как сообщает журнал Nature, группа ученых из США успешно завершила клинические испытания индивидуальных вакцин против этого опасного заболевания, ежегодно уносящего тысячи жизней.Группа исследователей из ра...
Биологи раскрыли необычную связь между обонянием и ожирением
Количество лишних килограмм зависит не только от того, сколько калорий мы потребляем, но и от того, как мы их ощущаем, говорится в статье, опубликованной в журнале Cell Metabolism.К такому выводу группа ученых из Германии и США пришла после...
Поцелуй через микроскоп: какие микробы живут в полости рта
Поцелуй как важный знак выражения эмоций так прочно вошел в различные человеческие ритуалы, что с некоторого времени на всей планете 6 июля ежегодно отмечается Всемирный день поцелуя. Более того, некоторые ученые решили повнимательнее присмотреться к этому ритуалу, создав но...
Российские ученые создали материал для "самозалечивающихся" дорог
Ученые НИТУ "МИСиС" разработали технологию производства "самозалечивающихся" асфальто-бетонных материалов для дорожного покрытия. Статья о свойствах полипропиленовых композитов с карбоновыми нанотрубками принята к публикации в журнале "Composite...
Насколько оправдана шумиха на тему улучшения мозга?
Несмотря на смелые прогнозы от нескольких технокомпаний касательно будущего нейронных интерфейсов, наука расширения мозга все еще находится в зачаточном состоянии. Что же думают ученые про всю эту шумиху, которая доносится из Кремниевой долины? Михаил Лебедев, нейробиолог, работающий над нейрокомпью...
Ученые доказали, что диетические продукты вызывают ожирение
Некоторые "диетические" продукты оказались более опасными, чем их "жирные" аналоги, так как содержат много сахара и вызывают необратимые изменения в работе печени и мозга, заявляют ученые в статье, опубликованной в журнале Physiology & Behav...
Российские ученые сделали очередной шаг на пути к регенеративной медицине
Регенеративная медицина – одна из самых перспективных областей науки. Суть ее, если упрощенно, заключается в том, чтобы выращивать новые органы и ткани из собственных клеток пациента, что исключит такое серьезное осложнение, как отторжение трансплантата. Значительных успехов в этой области уда...
Агентства NASA и ESA возьмут астероид на таран в 2024 году
Вероятно, вы не знали об этом, но 30 июня во всём мире считается «Днём астероидов», и в этот день видные научные деятели пытаются донести до космических агентств и правительств разных стран ту опасность, которую таят в себе эти загадочные небесные тела. Столкновение нашей плане...
Ученые нашли на Мадагаскаре первого гигантского крокодила
Палеонтологи нашли на острове Мадагаскар останки потенциально древнейшего гигантского крокодила Земли длиной в семь-десять метров и массой в тонну, который обитал на суше и мог соперничать по размеру зубов и силе укуса с тираннозаврами, говорится в с...

 
 
 
 
 
 
 
 
 
 
 
